Çin'de Akıl Almaz Olay: Bebeğin Kafatasında İkizi Bulundu!

Çin'de Akıl Almaz Olay: Bebeğin Kafatasında İkizi Bulundu!

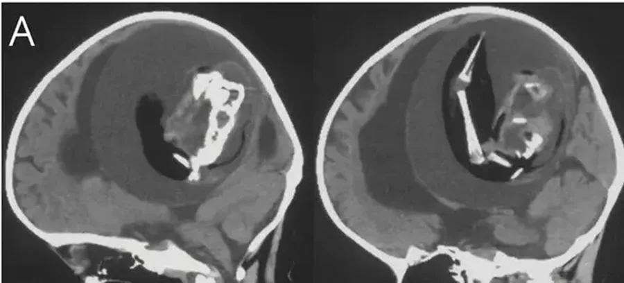
Şangay şehrinde yaşanan olağanüstü bir olay, 1 yaşındaki bir bebeğin kafatasında doğmamış ikizinin bulunmasıyla gündeme oturdu. Bebeğin geniş kafatası ve motor becerilerindeki sorunlar nedeniyle hastaneye getirilmesi sonrasında yapılan incelemeler akıl almaz bir gerçeği ortaya çıkardı. Amerikan Nöroloji Akademisi'nin 'Neurology' dergisinde yayınlanan bir makaleye göre yapılan çeşitli görüntüleme yöntemleriyle incelenen bebeğin beyninin içinde doğmamış ikizi olduğu belirlendi. Bu olay, tıp literatüründe sadece 18 kez rapor edilmiş bir durum olarak kayıtlara geçti. Araştırmacılar, bebeğin kafatasında sıkışan ikizin, anne karnında yeterince gelişemediği ve kardeşinin kafatasına sıkıştığı sonucuna vardı. Beyinde sıvı birikimi ve sıkışma tespit edilen bebeğin, aslında ikiz kardeşiyle birlikte anne karnında geliştiği ortaya çıktı. Doktorlar, fetüsün üst uzuvlarının kemiklerinin ve tırnaklarının rahim içinde aylarca büyümeye devam ettiğini açıkladı.

Ameliyatla Çıkarılan 10 Santimlik Fetüs

Yaklaşık 10 santimlik ikiz, özel bir ameliyatla bebeğin kafatasından çıkarıldı. Bu olay, tıbbi literatürde kayıtlara geçmiş 18 benzersiz vakadan biri olarak öne çıkıyor. İkiz fetüsün çıkarılmasıyla birlikte bebeğin sağlık durumunda olumlu gelişmeler gözlendi.